【野球肘】競技復帰に向けての治療は早めに!投球禁止期間でできることもあります。
野球肘とは、野球の投球動作により肘を痛めるスポーツ障害の総称です。野球選手の障害で最も多いのが「野球肘」です。当院でも2年間で約150人の野球肘とみられる患者さんが訪れました。
投球動作は、肘関節にさまざまな方向から強い負荷がかかります。そのため、骨、軟骨、靭帯、筋肉に障害が起こります。とくに成長期の子どもの骨や軟骨はまだ強くないため、投球動作の繰り返し(オーバーユース)によって、野球肘が起こりやすくなります。
そのような野球肘になると、一定の投球禁止を余儀なくされる場合もありますが、投球禁止期間でもできる練習はいくつかあります。本記事では、野球肘の治療方法について、投球禁止期間でもできることを交えながら説明していきます。
野球肘の原因・発生機序
繰り返しボールを投げることによって、肘への負担が過剰となることが主な原因です。とくに下の図のコッキング期~加速期にかけて、肘に大きな負担が強いられます。

投げすぎ以外にも、「肘下がり」や「体の開きが早い」といった不適切な投球フォームや全身の柔軟性低下、筋力不足なども野球肘の原因となります。
野球肘の症状
野球肘の主な症状
- 投球時や投球後の痛み
- 圧痛
- 可動域制限
- 球速の低下
- 全力投球不能
- 遠投距離の低下
などです。
野球肘の分類
野球肘には、内側型、外側型、後方型の3タイプがあります。それぞれの代表的な疾患を下の表に示しています。
| タイプ | 代表的な疾患 |
| 内側型 | 内側側副靭帯損傷や内側上顆剥離骨折 |
| 外側型 | 上腕骨小頭の骨軟骨障害(離断性骨軟骨炎) |
| 後方型 | 肘頭閉鎖不全、後方インピンジメント |
内側型野球肘
投球動作のコッキング期に、肘の内側にかかる過剰な負荷(外反ストレス)によって、靭帯(内側側副靭帯)や腱、軟骨がひっぱられることで損傷や断裂を起こします。
構造的に最も弱い部分が年齢層によって異なるため、小児期(10~16歳)は、内側上顆靭帯付着部の裂離骨折が多く、青年期(17歳~)では、内側側副靭帯(MCL)の損傷が多いとされています。
![]() |
![]() |
外側型野球肘
外側型野球肘は12歳前後の少年野球選手に多く発生します。
肘の外側で、上腕骨小頭と橈骨頭が衝突し、骨・軟骨が剥がれたり傷んだりします。代表的なものとして、離断性骨軟骨炎(OCD)があります。
離断性骨軟骨炎が進行すると、軟骨が軟骨下骨(軟骨の下の骨)とともに離断し、「関節遊離体」(いわゆる関節ねずみ)となってしまいます。この場合は手術も検討します。
後方型野球肘
投球時、ボールリリースからフォロースルーにかけて、肘の後方では上腕三頭筋による牽引が加わり、肘頭と肘頭窩の衝突が生じ、骨・軟骨が痛みます。(肘頭骨端線損傷、肘頭疲労骨折、後方インピンジメント)
![]() |
![]() |
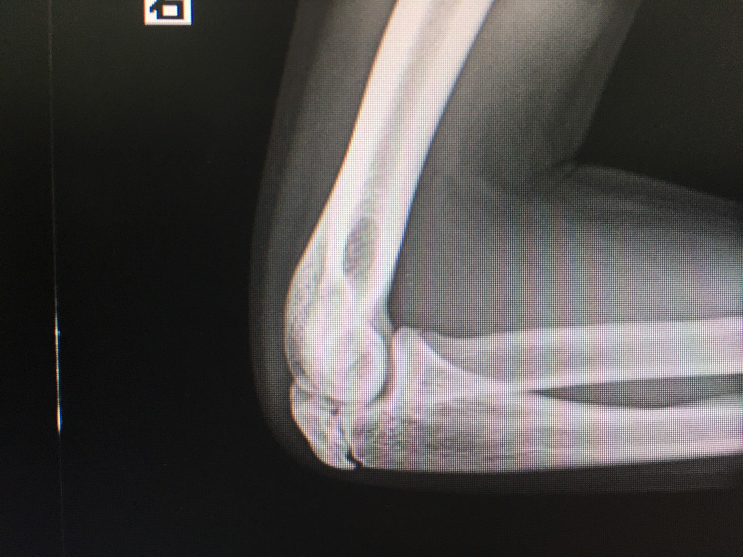
野球肘の画像検査
実際にどの部位が損傷を受けているのか確認するために、以下の画像検査を行います。
- レントゲン撮影
- 超音波検査(エコー検査)
- CT検査
- MRI検査
野球肘の診断と治療【保存療法が原則】
治療の原則は保存療法です。
痛みや可動域制限が軽度の場合、数週間~数ヶ月の投球中止によって軽快することが多いです。投球中止の期間は、保存療法として運動やストレッチなどのリハビリを行います。腕立て伏せや跳び箱、ドッジボールなど、肘関節に大きな負荷のかかることは禁止します。ただし、肘にあまり負担のかからない以下のような練習は許可をする場合があります。
| ノースローの期間中でも行って良い練習の例 |
|
症状に合わせて下半身や体幹、肩まわりなど全身の柔軟性や筋力の改善・強化を行ないながら、段階的に肘周りの筋力強化、投球動作のチェックなどを行っていきます。保存療法で改善しないときは手術が必要となることもあります。
内側型野球肘の診断と治療
診断
レントゲン検査で内側上顆下端の剥離骨折が確認できます。超音波検査では靭帯損傷の有無や外反動揺性を検査します。内側の筋、腱、靭帯、骨に異常がある場合、圧痛検査や各種ストレステストで疼痛が誘発されます。
![]() |
![]() |
肘のチェックポイント(可動域、圧痛、ストレステスト)
治療
運動療法やストレッチ、全身の機能改善といった保存療法が原則です。
一定期間(3か月)の保存療法を行ってもパフォーマンス低下や痛みが残っていて、競技復帰を希望する場合には、手術として「靭帯再建術」を行います。
外側型野球肘の診断と治療
診断
外側型野球肘の診断には、上腕骨小頭の圧痛、レントゲン撮影、MRIが重要です。
レントゲン撮影では、遊離体の有無によって、「透亮期」「分離期」「遊離期」に分けられます。

(岩瀬の病期分類)
![]() |
![]() |
![]() |
超音波検査は有用なツール
近年の超音波検査の機能は著しく向上しており、筋、関節包、滑膜、関節軟骨、軟骨下骨を明瞭に描出することができます。
超音波検査によって離断性骨軟骨炎を早期に発見できれば、保存的に治癒する可能性は高くなります。

(引用:肩と肘のスポーツ傷害より)
|
![]() |
![]() |
治療
12歳以下、骨端線閉鎖以前、分離前期以前、中央型・外側型では保存療法を基本とします。
分離期後期・遊離期である進行期では、保存療法での治癒はほとんど期待できないため、手術をすすめています。とくに以下の場合には早期に手術を行うことをすすめています。
- ロッキングや可動域制限が著明な例
- 日常生活動作に支障がある例
- スポーツの継続が不可能な例
- 野球継続に強い意志のある者
手術は、骨接合術、骨軟骨移植術、遊離体切除などがあります。
後方型野球肘の診断と治療
診断
後方インピンジメント障害の診断には、レントゲン検査やCT検査、MRI検査が有用です。
![]() |
![]() |
治療
治療は、保存療法が原則で、一定期間の投球禁止で自然に治癒する場合もあります。ヒアルロン酸製剤の関節内注射も効果的です。
手術の適応は、肘頭、肘頭窩での骨棘(こつきょく)形成、あるいは骨棘骨折による遊離体などを認め、3か月以上、注射等の保存療法行っても動作時痛や可動域制限、競技力の低下をきたしている場合としています。
手術は、骨棘、骨膜、遊離体を切除するのが一般的です。



















